※新網站已經上架囉: www.huataident.com
緊急通知:
《課程時間地點. 重要資訊公布》
* * * * *
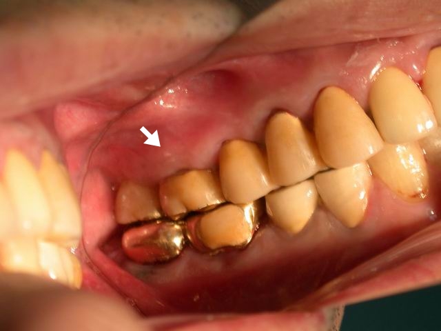
不要再用 力學設計及衛生設計不周全的方法
何謂 能控管牙周病的假牙?
(個案一)
(本文圖片 文章 設計 版權所有 抄襲必究)
※新部落格 林泰武摘洗式彈夾牙 更新 更詳細的內容,請點入: dr-lin-double-crown.blogspot.com
緊急通知:
2012年8月26日台北、9月2日花蓮課程&習作
《請學員攜帶如下之工具、材料》
《課程時間地點. 重要資訊公布》
《創新設計 單顆缺牙區已可以不必植牙 彈夾式假牙》
即日起招收診所隨習 習作學員 請來電洽詢︰
電話︰(02)2382-6600
E-mail︰newkonus@gmail.com
即日起招收診所隨習 習作學員 請來電洽詢︰
電話︰(02) 2382-6600
E-mail︰newkonus@gmail.com
彈夾之套構, 其中早先之「I」-BAR, 已由林晏霆設計改良為「T」-Bar, 使得假牙更加鞏固穩定, 不會因單邊T片脫落而黏脫、誤吞食(安全沒問題)。
即日起招收診所隨習 習作學員 請來電洽詢︰
電話︰(02) 2382-6600
E-mail︰newkonus@gmail.com
不要再用 力學設計及衛生設計不周全的方法
一再的犧牲牙齒
不要再把牙齒套死
不要一再輕忽的拔牙、植牙
動搖的膿腐牙 若牙根尚存有三分之一以上的地基骨(高度) 及前後尚有健固的牙齒,則有可能95%以上可以設計 使它們不必拔牙、不必植牙、不必磨毀兩旁好牙,用能控管牙周病的活套冠假牙 即可修復 並長保健固功能。何謂 能控管牙周病的假牙?
(個案一)
(有些圖片並非同一人 同一CASE,僅擇以影像清晰 狀況極類似 同義者 曉義說明)
(本文仍為初稿,排版與語意用辭 將在未來逐步修順 增料)
* * * * * * * *
* * * * * * * *
為什麼天然牙齒及假牙???老是很令人懊惱!!!
天然牙.黏死的固定假牙.植牙+固定假牙
打從年輕時,即修補沒幾年就壞了,壞了又重套,一而再、再而三,還是又壞了。
既痛苦又腐臭又噁心,終至被拔除,一生都在埋怨牙醫,搞不定牙齒,很是無奈。
(當然自己刷牙的習慣,也是原因之一)(上天所創造的天然牙是固定的 無法拿下來 所以縫隙很難清洗 甚至連在治療時都搆不到 也是另一原因)
那麼牙醫在設計牙套時 是不是應該針對這老天所做 很明顯的構造錯誤來改正。改變成能拿下來 方便清洗-牙柱頸部 與牙齦環周,及活套冠假牙的內凹面與外表面。並且使衰敗的牙柱牙根的環周 不會再有治療時刮除不到的遺憾。使假牙變成合於理想、合於人性的設計
此乃牙醫學院研究所應設定的第一目標。而非仍舊依從天然牙的瑕疵結構、樣式繼續錯下去。以致於人類牙齒的腐壞 一直無法控制 即使植了牙 腐壞也是永不停止。
牙齒 假牙 植牙 一再腐壞的三大原因!!!
( 大綱 速捷說明: )
(原因一) 黏腐、臭穢︰積黏於~~牙頸部、牙根與環周牙肉深隙、以及臼齒牙根二叉、三叉腐坑處。造成牙根、牙根地基骨腐壞。
(原因二) 咬食力槓的破壞︰造成衰敗的牙根容易斷、裂,牙根地基骨牆也會擴鬆而腐炎。
(原因三) 牙套冠力槓,撬[h'iau]殼[‧ㄎㄚ]︰牙橋比較晃動的一端會動搖,如同開瓶起子,造成比較穩固那端的套冠常被撬鬆。冠內的硬固黏劑,於是產生裂隙,造成滲水、滲入食漿。日久冠內的牙柱頭,就腐壞了。
原因一的圖例說明︰
假牙 牙齒 腐臭的主因
1、兩牙夾縫 嵌塞食物。
2、牙齒及假牙的牙頸環周 長期積黏腐醬。
3、牙齦與牙根之間的深肉隙 滲積腐黏 毒臭 而腐壞牙根周的地基骨牆。
4、積腐逐漸往下深入 破壞牙根之間的牙周骨,形成深坑腐穴。
5、逐漸被腐壞的臼齒牙根分叉處(下臼齒二叉 上臼齒三叉)。牙根分叉腐穴長年窩藏腐穢 牙根之間的骨脊就逐漸被深入腐毀 形成醫師無法治療,器械無法刮潔到的死穴。
6、牙周地基骨 因長期失救(因一般黏死的假牙 不適合設計分力支靠臂Rest Arm 無以分擔減弱咬食破壞力、加上黏死的套冠更容易黏腐 積臭,不容易洗乾淨)而完全腐毁 以致於嚴重動搖 膿腫 而必須拔除。
牙根二叉腐坑的破壞 由小逐漸變大
1、下顎臼齒二叉腐脊坑 窩藏腐穢。
1A、極嚴重的二叉牙根腐脊坑。
2、由於牙根地基變淺、變短,即使正常的咀嚼力 也會變成破壞力。(加上腐臭 更會加劇牙周病發炎程度)
2A、正常的咀嚼力 變成極大的破壞力。(嚴重牙根 地基腐壞變淺時)
(此時該牙大多已不能咬食。上下牙相互咬到時 會感覺劇痛、動搖,因此時牙冠己感覺浮腫)
各種二叉 三叉腐穴 浦膿的圖例
AA對應於下圖中CC (日前的牙根X光片 呈現蠻大的根叉腐穴) 牙齦已爆出膿包
BB乃AA半年以前的x光片,似乎根叉腐坑 沒有目前的大 (x光拍攝角度不是很相同 不算是很恰當的比對)
AA看起來似乎是健固潔淨的假牙 其實根叉腐穴暗藏膿炎 且長年清除不到。不斷的暗潛著無痛 無感覺 持續腐壞的根叉腐穴 逐漸漫延至牙根環周骨牆 終於爆膿。牙根地基變淺。
所以黏死的固定假牙 應盡早拆掉,診斷評估後 改設計成New Taiwan 根叉分切式Konus 就大有可能 免除牙根骨牆的繼續腐爛 才可長久地保住該牙,長保功能。
狀似健固 潔淨的黏死固定假牙 往往很高的百分比 暗藏深齦膿包或根叉 腐坑!
假牙設計成黏死的固定牙橋 此時的深肉隙 二叉 三叉牙根 腐坑 無法徹底治療 平常極困難保潔。日久終究會爆膿 無法根治 目前已有New Taiwan Konus分切牙根的牙周治療法+子內冠補綴法 與予安全 安心的解決這些問題。
* * * * * * * *
* * * * * * * *
世界第一個案例 (??!!) 控管牙周病的假牙
(1)消除牙頸環周黏臭及根叉深穴。
(2)增援力量 分散減弱咬食的破壞力 以免斷裂、撬[h'aiu]殼[‧ㄎㄚ],以免冠內滲水 腐壞。
(3)能順暢拿下來清潔。咬食不會太緊,安穩不脫落 或也不會太緊而拿不下來。
AA乃幾乎所有牙醫都一致認為應該要被拔除 而後植牙,或磨損兩邊好牙 再做套死的牙冠、牙橋。因為BB根叉腐穴 以目前一般療法 無法作完全徹底的刮除治療。經新法New Taiwan Konus分切牙根的牙周治療法 加上新設計的Rest Arm具備分力活套冠修復法 得以完全治癒 而留存 並長保健固功能。
* * * * * * * *
* * * * * * * *
牙齒 假牙腐敗 第一原因腐黏、臭蝕牙根的[對應 對策]︰
把目前黏死的假牙 改成新設計,作成活套冠。如此就易於清除、治療牙頸環周。
把目前黏死的假牙 改成新設計,作成活套冠。如此就易於清除、治療牙頸環周。
A 橡皮帽扣 與內冠上的鑄球(Ball Post)套合,可把外冠穩固於內冠上
假牙要能安妥修復的 五大要素
1、要能真正治療到腐牙的病區 要能真正刷潔
2、要能分散咬食力的承擔 以免牙根 牙骨牆斷、裂
(用Rest Arm支靠臂 支靠於健固鄰牙,以分擔力量)
3、不撬鬆 冠內的黏固硬劑
(冠內才不會滲水 才不會腐蝕)
-----------------------------------------
4、好拿上 拿下 裝戴順暢 穩固 安定
5、老殘時 容易照顧 好清潔 好再治療
3、不撬鬆 冠內的黏固硬劑
(冠內才不會滲水 才不會腐蝕)
-----------------------------------------
4、好拿上 拿下 裝戴順暢 穩固 安定
5、老殘時 容易照顧 好清潔 好再治療
R︰分壓支靠臂(Rest Arm)乃吳文元博士 專利字號xxxx
Rest Arm支靠臂的功能 說明如下︰
1、可分擔、減弱支柱牙根的承受力 免於斷、裂。
2、減弱支柱牙外冠的承受力 使內冠不致於被外冠撬鬆 較不會造成冠內滲水、滲食漿,而日久惡臭、腐蝕牙柱頭。(以上二種情形,是黏死假牙普遍腐毀的原因)
3、另一則是︰密封蓋住,咬合面鄰隙。避免塞食,而造成鄰牙牆面、牙頸、牙周骨,及二叉、三叉牙根骨穴臭蝕腐壞
*這三個原因 是造成黏死假牙套上後 大約六、七年、十來年,就會腐敗的原因。佔90%↑(??)
於是Dr.吳文元與我共同針對這三個原因 研發新型活套冠假牙以消除之 則假牙牙齒不毀矣!!(極少)
1、可分擔、減弱支柱牙根的承受力 免於斷、裂。
2、減弱支柱牙外冠的承受力 使內冠不致於被外冠撬鬆 較不會造成冠內滲水、滲食漿,而日久惡臭、腐蝕牙柱頭。(以上二種情形,是黏死假牙普遍腐毀的原因)
3、另一則是︰密封蓋住,咬合面鄰隙。避免塞食,而造成鄰牙牆面、牙頸、牙周骨,及二叉、三叉牙根骨穴臭蝕腐壞
*這三個原因 是造成黏死假牙套上後 大約六、七年、十來年,就會腐敗的原因。佔90%↑(??)
於是Dr.吳文元與我共同針對這三個原因 研發新型活套冠假牙以消除之 則假牙牙齒不毀矣!!(極少)
* * * * * * * *
* * * * * * * *
腐黏 腐蝕若已深入漫延至二叉三叉腐穴~
[的對應對策]
[的對應對策]
將牙根叉腐臭坑切開 變成壕溝 即可通暢地刮潔治療腐敗區
牙周病才能得到完全的治療 再套以New Taiwan Rest Arm Konus活套冠 則可恢復正常的咬食 因具有支靠臂 由兩旁鄰牙承受咬食力 日後更能順暢地治療、保潔,病牙終遠維健的修復 幾乎不再發生大問題
應儘快治療 儘早起造這種有高度衛生,對衰敗牙根幾乎不具破壞力,且具長效健固、良好功能設計的假牙 以免拖延腐毀牙根地基 到頭來實在是太衰敗 太動搖了 有如五六七級以上的地震度。牙齒毀壞到那時再修復 將無法得到滿意的咬嚼︰咬食沒力,會痛 使不上勁兒;摘脫外冠時亦會拉痛。
C Rest Arm(支靠臂)幾乎是咬食力的全量吸收,是為支持的要件。腐牙根幾乎不太受力。
D 牙周病的創新 救治法則︰切開腐脊死穴 變成暢通的壕溝。才能真正完全的治療牙周病。每天才能真正的刷沖乾淨。
DS 連鄰接面也同樣有完善的空間路徑 可以徹底治療、徹底保潔。不像一般傳統黏死假牙的做法 二叉 三叉腐脊坑及鄰接面深隙 一直都無法積極治療,極難保潔,因而持續腐壞 以致弄到要拔牙。植牙+固定假牙 仍舊會日久同樣造成牙周骨腐敗、同樣災情。老殘時更是問題。因嘴張不開 而無法卸下鎖冠的螺絲釘。
* * * * * * * *
* * * * * * * *
上圖AA為分切兩顆牙根的案例。跟分切一顆牙根 是同樣的作法與道理。惟要考慮咬食時總承受力與動搖度 是不是可行 (判定法則︰以經驗、評估牙根地基尚存之高度。承受中度以上的壓力 痛否?)
若力基不足 則可尋求近遠心無牙脊空區 作植牙 或拔除適當的一顆腐牙 做植牙 作為Rest Arm(支靠臂)的支柱牙 以增援力量。
注意︰植牙樁柱 儘量需有緩壓及避震設計
A乃台灣新型KONUS。分切子內冠 加鑄球、帽扣的型式。是徹底解決目前環宇一直無法有效治療的根叉處牙周病。
B為德國型KONUS(活動雙套牙)。大臼齒牙根分叉腐穴處 腐膿仍舊會持續惡化 無法解決 雖環周可輕易保潔 但骨內牙根分叉臭穴處,仍會一直處於惡臭、發炎、流血狀態,會持續腐壞地基骨 而致地基全腐 終會拔除。
C為A、B內冠各自套上外冠以後的外觀。
(A) New Taiwan Konus 可終遠健固
(B) 德國型Konus大臼齒二叉根穴 仍會持續腐敗
(New Taiwan Konus在根叉腐穴的治癒控管上,及牙冠摘脫順暢度方面,遠優於德國型。)
該診友已於這半年 將此一舊型牙改成New Taiwan 分切式Konus。不但救治了根叉牙周病,且德國舊型活套冠常有的內外冠太緊、卡死與無故鬆脫的問題 也獲得了解決。
B(左下顎)為德國原型Konus內冠
B(德國原型內冠)已更改為New Taiwan分切牙根內冠
With Ball & Cap
* * * * * * * *
* * * * * * * *
牙齒假牙腐敗~第二原因
黏死假牙牙根晃斷問題的對應、對策
黏死假牙牙根晃斷問題的對應、對策
一般黏死的牙橋 不適於設計附加Rest Arm支靠臂 以分擔支柱牙的承受力。牙橋,支柱牙衰敗的一端比較動搖,導致堅定穩固那端的支柱牙 不是被鬆脫冠蓋 就是斷裂。
(上圖AA為牙根斷裂面)
New Taiwan Konus活套冠牙橋︰
1、可順利的拿下假牙 作清洗 治療
2、下圖(RR) Rest Arm (支靠臂) 用以分擔衰敗的第二小臼齒(AA)的承受力。免於斷、裂。
3、此案例CC大臼齒因無牙根分叉 腐坑 死穴的病灶 所以不必做牙根分切治療,作德國原型Konus內外冠即可。
4、BB有鑄球膠帽扣 穩住牙橋
* * * * * * * *
* * * * * * * *
* * * * * * * *
* * * * * * * *
目前一般傳統固定牙橋 沒加支靠臂(Rest Arm) 無法分散咬合力 長期被咬合力破壞的結局
* * * * * * * *
* * * * * * * *
下圖例為德國原型Konus未加安全帽扣 平常易發生太緊、太鬆的困擾。若如上一個案例 改設計以New Taiwan Konus活套冠,則大為理想。
* * * * * * * *
* * * * * * * *
假牙腐毀原因~三︰
假牙套冠 撬[h'iau]殼[‧ㄎㄚ]、裂隙的問題~~對應與對策
這圖是三顆一組的牙橋。圖內編號(5)為小臼齒,已被磨切,剝除半片金屬 示意圖 (A)乃牙冠頸的區域已滲水腐壞 變黑。據推斷 最有可能是(5)起先是為比較會動搖的牙 咬食時晃動著牙橋而將(7)的牙冠與牙柱之間的硬固黏劑晃鬆裂 於是就滲入食漿 長期滲水入冠內而腐臭 造成(7)的冠內牙柱頭腐爛 同時也往下腐壞牙根地基骨牆。待(7)腐晃到嚴重程度 換(5)也開始金屬冠內硬固粘劑被晃鬆裂 而造成滲水,長期腐臭,造成淺層腐敗 於是頸部呈現黑色 。
* * * * * * * *
* * * * * * * *
(案例) 牙冠免脫蓋(冠) 免鬆裂滲水 而腐敗的新設計
內外冠可毫微放鬆 及設計具有Rest Arm分擔減力 則可減免內冠撬[hi'au]殼[‧ㄎㄚ]。
New Taiwan Konus︰
1、可順利的拿下假牙 作清洗 治療
2、有(RR) Rest Arm (支靠臂) 用以分擔衰敗的第二小臼齒(AA)的承受力。可減少內冠鬆裂而滲水腐壞牙柱頭。
3、此案例 CC大臼齒因無牙根分叉 腐坑 死穴的病灶 所以不必做牙根分切治療,作德國原型Konus內外冠即可。
4、BB有鑄球膠帽扣 穩住牙橋
此例若是作New Taiwan Konus活套冠 則既可每天保潔(空橋底面、牙頸環周及二、三叉根處)又可防斷、裂,更可免於內冠被撬殼、鬆裂 而使內柱腐毀的惡運 所以黏死固定假牙 是一直都潛在著假牙再修再壞的三大主因。
* * * * * * * *
* * * * * * * *
高壽假牙,老殘恆臥病輪椅時的新思惟 新設計。
口腔內一旦裝置了黏死的固定假牙 包括植牙 當人們老殘 頹廢 化療 恆臥病 輪椅時,絕大都無法自行刷牙 刷淨。
老殘 恆臥病時,口腔幾乎無法治療及保潔 衰弱病人無法坐上診療椅 即使很費勁的扛上去 衰弱的嘴巴也張不開。即使張開 開度也很微小 容納不下磨牙機的操作空間 高度,口腔喉嚨更不耐磨牙機噴氣噴水,極容易嗆到。植牙套冠雖然鎖以螺絲 也是無法卸下。這時期的假牙無法被磨切 剝除。如同不能脫下鞋子,怎能治療腳傷 若長年穿著無法脫下的鐵褲 如何能潔淨肛門,不腐臭、腫膿才怪!假牙無法或極困難拿下,無法治療。就是今日寰宇 無論年輕人或老年人 牙齒問題叢生 愈看愈糟 每況愈下的主因。
老殘時期 牙齒假牙的髒 臭 痛、膿腫,應如何處理?
就這麼聽其自然?任其(危病+只是虛應地擦藥或服藥)或應積極研發具有預防性 理想性 合於人性的新設計假牙,才能真正有效的解決人類此一亙古大患。才不會讓牙醫治療徒增忙擾。
二、無論健康或臥病時,假牙應可立即、隨時方便順暢的拿下來 做日常徹底的保潔及治療。
三、假牙應設計具有可增援力量的Rest Arm(鄰牙支靠臂),用以倚靠著健固的鄰牙或植牙,如此則不用磨毀鄰牙 即可得以分擔 減弱咬食力對衰病的牙柱所造成的破壞,以免衰病的牙根地基骨牆 被咬食重力搖晃 破壞,或造成牙根本體斷、裂。(Rest Arm乃齒學博士吳文元的專利設計)(正常咬食力 對正常牙幾乎很少構成破壞,但對衰病的牙根地基骨牆,往往可構成咀嚼破壞)(因骨牆一旦腐毀,牙根地基變淺變低。牙本體 牙根裸露增長,破壞力桿、力矩變長 破壞力相對倍乘)
四、不要有槓桿撬啟、鬆裂冠蓋 (瓶蓋)內面硬固粘劑的破壞力(後敘詳述)。
五、新設計的活套冠假牙咬食時,要能穩妥地戴著,不要被黏食粘落。同時也要能夠順暢地拿下,以利日常清潔及醫生治療時,可立即拿下假牙,即有足夠的器械操作空間,以利刮潔治療。
六、老殘恆臥病輪椅時,不至於束手無策,殘酷地聽任病人牙齒 牙齦腫痛失救。
目前在病房及ICU觀察室內普遍的問題是老殘恆臥病病人,口腔內無能為力的聽任無法治療的膿爛牙齦,膿血 細菌 毒素 不斷地滲入微血管 隨著血流循環全身 相當干擾內外科的治療及用藥劑量的困擾!一面要求內外科醫生用(最貴??)最有效的藥企圖挽救生命 一面聽任口腔內 牙齦的膿血不停地滲入細菌毒素 的反醫療現象 矛盾!!
高壽 老殘假牙的新思惟
二、膿血 細菌 毒素長期侵入血管 循環全身 造成全身器官被感染的危險。以及免疫系統被干擾 是內 外科治病時 或術後感染最大的隱憂。
1、下顎臼齒二叉腐脊坑 窩藏腐穢。
1A、嚴重的二叉牙根腐脊坑。(病牙拖延太久或是牙醫之失能、無術而失救 牙齒幾乎是報廢了)
2、由於牙根地基變淺、變薄。正常的嚼食力 也變成了破壞力。(加上腐臭 更會加劇牙周病)
2A、正常的咀嚼力 相對地變成極大的破壞力。(嚴重牙根 地基腐壞變成極淺時)
(此時該牙大多已不能咬食。上下牙相互咬到時 會感覺劇痛,因牙冠己感覺浮腫)
老殘臥病時 固定假牙及臼齒二叉 三叉腐臭坑 幾乎無法處理。連上診療椅都是一大困難!
此例為八、九年前即做好的吳式德國版Konus全口牙橋 由於患者有二十幾年的糖尿病 不願植牙,遂以後方無牙脊支持著游離牙橋的型態設計。
游離端 會有咬晃作用 日久竟逐一的把患者犬齒 及 左下門牙晃斷後 即長期達到咬食力晃動均衡。近三年臥病不能行走 看護尚且還容易以超音波牙刷 刷潔,照顧上不是太大問題。但後牙臼齒牙根分叉之腐坑 仍存在腐炎(因沒有作二叉分切子內冠設計)。該處仍舊有腐膿的問題。
由於不植牙 游離假牙底座晃動 支撐不良 只能吃著菜頭粿、極軟爛之蔬菜、魚類等這般軟食。
此老長起先兩邊都不願意加種植牙 以加強負荷。但兩三年後 改變心意 於左下加了植牙 助增支撐。
(門牙區)為Dr.吳、德國版,天然自體門牙套以Konus活套冠牙橋 + (右上)後上方植牙套以Konus活套冠牙橋 + 左後上方嚴重牙周病大臼齒的牙根三分切後再套以New Taiwan Konus子內冠。這些是不同階段 隔著數年 分期製作,逐一連接成一體 而成為一長排終遠理想的假牙,牙周病已作徹底治療,平日可徹底清潔,日後要再治療也很方便 甚至老殘恆臥病時亦可行。
一排牙 共同分擔著嚼咀破壞力 減少咬點區域的牙根、牙骨牆及黏固劑被撞擊破壞。
BBB是八、九年前製作的門牙牙橋 (Dr.吳文元改良 德國型的Konus活套冠)
CCC是門牙做好四、五年後 才做的植牙Konus活套冠。舊的那排門牙外冠與後來右後方植牙的外冠 精準的焊合
AAAA乃是又過了二年半 診友再前來要求 想拔除左側動搖腐膿的大臼齒 想要如右側般做植牙。余乃告之以︰已有新研發的新台灣牙周病牙根三分切活套冠假牙治療修復法 效果頗佳 毋需再拔牙 植牙!
近日 這位診友 前來複檢 左上後方咬食有些微痛 經檢查、Scaling時毫無出血 均無腐炎及Deep Pocket。可能是使用暢快咬重過度。遂告之以︰最好僅限食如杏仁 花生 雞肉 空心菜等如此這般韌、硬。韌者勿過於烤鴨皮
若力基不足 則可尋求近遠心無牙脊空區 作植牙 或拔除適當的一顆腐牙 做植牙 作為Rest Arm(支靠臂)的支柱牙 以增援力量。
注意︰植牙樁柱 儘量需有緩壓及避震設計
BB為小臼齒單柱牙根 套以Dr.吳文元設計德國型Konus雙套冠 加上Rest Arm處理。(Zirconia內冠)
A乃台灣新型KONUS。分切子內冠 加鑄球、帽扣的型式。是徹底解決目前環宇一直無法有效治療的根叉處牙周病。
B為德國型KONUS(活動雙套牙)。大臼齒牙根分叉腐穴處 腐膿仍舊會持續惡化 無法解決 雖環周可輕易保潔 但骨內牙根分叉臭穴處,仍會一直處於惡臭、發炎、流血狀態,會持續腐壞地基骨 而致地基全腐 終會拔除。
C為A、B內冠各自套上外冠以後的外觀。
(A) New Taiwan Konus 可終遠健固
(B) 德國型Konus大臼齒二叉根穴 仍會持續腐敗
(New Taiwan Konus在根叉腐穴的治癒控管上,及牙冠及牙冠摘脫順暢度方面,遠優於德國型。)
該診友已於這半年 將此一德國舊型牙改成New Taiwan 分切式Konus。不但救治了根叉牙周病,且舊型活套冠常有的內外冠太緊、卡死與無故鬆脫的問題 也獲得了解決。
(以上說明為黏腐、臭蝕的治療及切開牙根腐坑成為壕溝的根叉牙周病 的活套冠處理)
牙醫界不應該自我妥協認為牙周病 假牙再腐毀 是天經地義 理所"自然"的事。不合於牙周病學的基本大法理論(黏死假牙乃是無法潔淨及困難治療的設計) 不合於簡淺的樁柱工程力學理論的假牙結構 才是造成黏死假牙一壞再壞的因素。不應一窩蜂的 經濟性的過熱於鑽研植牙 補骨的領域。那不過是整個牙醫界救牙不力 接著而來的 料理後事之虞。是牙科的一部份領域 不應是全球牙界全力傾注的目標。
應全力救牙 使其修復後不再腐壞 不必再磨毀鄰牙 儘量不需拔牙 不必植牙 而終遠修復之 並達日常生活之正常功能 才是牙醫人應努力的第一目標。
牙醫服務人類最高境界 應為︰
其一、讓天然本牙 一開始就不腐敗……????
其二、使人類不需再做牙橋假牙,不需麻煩到要做長排高壽假牙,不需拔牙、不必植牙!!!!
植牙後再套以固定假牙 仍舊是沒有改善清潔的路徑、環境。植牙終究還是會有地基腐毀的現象 這就是為什麼目前植牙、牙醫前景一片看好。但是問題很大 會愈植問題愈旺。
植牙套以順暢的New Taiwan Konus活套冠假牙 + Dr.吳之Rest Arm(支靠臂) 則幾乎可癒予善終,幾乎很少再找麻煩了!!
因為咬食的破壞力量 有安妥的處理(用Rest Arm分散力量)。並且腐坑 腐毒的問題 也有子內冠的預先設計 而可清除殆盡。每天清潔及日後要再治療 保養的路徑及空間都有預留。破壞力與腐毒 能有效的處理 則支柱牙不毀 牙牆地基不腐。有針對原因 來解決問題,就如同精良的航空公司 嚴密安檢的幾乎去除了所有失事的因素。二、三、四十年不掉一架。哪像……!!
倘若已幾乎全部去除了問題的因素 何來牙齒 假牙腐敗的發生!? 為何環宇牙界 一窩蜂全力的在研發補骨 植牙? 不過是在為無能為救的牙齒 料理法會後事罷了!!
骨科不也是以接好肢體為第一目標嗎?亦或是傾全力於截肢 而後附加以高科技、高靈敏的義肢為研發之主力?
全世界牙醫及研究所 若全力於研發搶救牙齒 力圖救存病牙 若此 則補骨 植牙 應只是牙醫學的一小旁支罷了。
AA牙,因無牙根三叉腐坑的問題 所以牙根不必切開。
BB牙根,因已有三叉腐坑 會積腐藏穢 故應予切開 以消除窩藏腐臭食漿的死穴,成為容易治療 容易清洗的壕溝 每天用沖牙機、牙間刷即可真正有效的清除乾淨。
AA因牙根三叉處 並無被侵犯 故無需分切牙根。
BB因這顆牙 具有三叉腐穴而動搖 三個牙根切開後 清除乾淨 徹底治療 一時動搖的更厲害 但三根予以子內冠聯合套合後 日後因保潔良好 新嫩牙齦及流血狀況逐日改善 動搖二到四個月後 未完全腐壞的發炎骨 逐漸恢復穩定。因這位牙診友清潔度很高。其中央孔,牙肉呈現Q韌的健康色 如CC區的牙齦Q健一般 而非凍紅糜爛狀 輕觸即出血。
B 鑄球 與帽扣(A) 可共同扣住穩定外冠
C Rest Arm(支靠臂)幾乎是咬食力的全量吸收,是為支持的要件
D 牙周病的創新 救治法則。切開腐脊死穴 變成暢通的壕溝。才能真正完全的治療牙周病。每天才能真正的刷沖乾淨。
DS 連鄰接面也同樣有完善的空間路徑 可以徹底治療、徹底保潔。不像一般傳統黏死假牙的做法 二叉 三叉腐脊坑及鄰接面深隙 一向無法積極治療,極難保潔,因而持續腐壞 以致於拔牙。植牙+固定假牙 也仍舊會有很多死角、深隙 很難清除乾淨 日久同樣造成牙周骨腐敗、產生同樣災情。老殘時更是問題。恆臥病輪椅時 衰弱得張不開嘴 無法卸下植牙鎖冠的螺絲。
無論是本牙或植牙,套以黏死、鎖定的牙冠牙橋 老殘恆臥病輪椅時 牙醫界似乎就眼不見 心不想 束手置之。
2、要能分散咬食力的承擔 以免牙根 牙骨牆斷、裂
(用Rest Arm支靠臂分擔力量)
3、不撬鬆 冠內黏固硬劑
(冠內的黏固硬劑 才不會滲水 才不會腐蝕)
-----------------------------------------
4、好拿上 拿下 裝戴順暢 穩固 安定
5、老殘時 容易照顧 好清潔 好治療
假牙若要作內外冠橡皮鈕扣式的型式,就必須要抽神經(根管處理),以便能將牙齒磨短 才能得到容納鑄球與鈕扣的空間。但有些支柱牙,只是輕微蛀牙 大體上仍是健康完好的 實在不需抽神經。抽了神經的牙,日久即失去活性,如同乾竹失去強韌性,日久易斷 易裂。因此余乃研發出專利設計,用彈性條來卡合、套住內外冠,以代替橡皮鈕扣。如此就不需做不必要的磨牙 及根管治療。
討論說明會,敬請先電話報名 02-2382-6600
(有些圖片並非同一人 同一CASE,僅擇以影像清晰 狀況極類似 同義者 曉義說明)
(本文仍為初稿,排版與語意用辭 將在未來逐步修順 增料)
倒不如運用童年鄉間生活的經驗:連雨過後走在小田埂的智慧,避開路中央區的爛泥,尋踩小徑旁的草實地行走;或連雨天在爛泥山路開車的經驗,不要讓車碾於別人行走過的爛漿輪道內,偏邊走別人未用過的高隆丘道。
長期腐壞的牙根 拖延治療 或者施救者乃根本無術,而造成地基骨嚴重腐敗 將會使日後植牙增添極大的困難 但絕不應該主張及早拔除、及早植牙 以保有骨頭。
應回歸最正確的思考︰人性主義 救齒濟仁。
應全力發展推廣 真正有效的醫術 以期得到真正的救治。有效的去除所有的病因,停止牙齒 牙周骨的腐敗 恢復正常的功能 不再往噩運走去。
數個以擴廣面積型態種植的妥適直徑小植體,再加以輕鋼架套合、黏固,如同一個紥實的咬合面舞台。新思惟、新術式的優點如下︰
(一)外冠嚼咀力對內冠植根的集中破壞應力點,可被周邊數個植體共同分擔。單點區域的破壞應力,因此減弱許多。(二)四腳桌面植根支撐法,消除了如同翻桌力矩的破壞力。因此在安全應力內(??)冠內的黏固硬劑及植根周的小骨樑 不容易被破壞、鬆裂。
(三)再則,讓患者節制限食於︰花生、雞肉、空心菜(烤鴨皮)等中度正常咬力的食物。
(清潔方面 倒是不構成問題)(沖牙機、牙間刷)
(強烈的向醫療工程、生技師建議 儘快研發妥適的齒列吸潔機,更能加助於潔牙的理論程序)
(理論及實務上 應先刷牙 牙間刷後 用力潄除 再吸除 再沖牙)
齒列吸除機將更能造福老殘恆臥病者。
也期待有更強固 抗壓 耐震 抗磨耗 抗鬆裂的黏固硬劑及膠帽扣產品 被研發出來。
這麼殘損的骨區 要植牙 如履薄冰。余當然知道應補骨以補強 ,但這位診友的狀況 卻是種種原因 顯示補骨之不可行(心臟、血壓、糖尿)。但在日常生活食的方面 總得修復 重建假牙。於是以New Taiwan Konus植牙法行事。終於得到尚可的咬食效果。
有待此診友日後仔細潔牙 及輕力限食於 (花生 雞肉 空心菜等類比範圍內,並儘可能韌、硬度,不過於烤鴨皮)假以時日 來年再證明此法是否終遠維健,但起造時 原剩餘之骨質 骨量 也是很大的關鍵。所以在牙齒、臼齒出現問題時 即應評估 並盡早以New Taiwan Rest Arm Konus法來進行治療、修復。以免拔牙。以免腐牙大量失骨。應及時停止牙脊的腐壞。
潔淨安穩有嚼力 再治療容易 極至高壽 老殘恆臥病時 假牙仍舊可終遠維健 人類牙齒修復 至此革新 才算是真正有效用 且無潛藏著裝設後的醫源破壞。
牙醫學(???)至此 對人類才算是 一完整的體系 才具有真正的意義!!
高壽假牙要件︰
1、咬力要分散 分配給多個支柱牙 以減弱破壞力。衰敗牙根、牙周骨才不會斷裂 動搖。
2、牙橋不可有撬殼 鬆脫牙冠的力槓效應
3、植牙、牙根分叉的死穴 深隙 腐區 要真能治療到,要真正能保潔。
4、食物節制,限食於輕、中度嚼力。如花生、軟雞肉、空心菜等韌、硬度等同類比。
詳細討論會 敬請先電話報名 以利安排演講事宜(免費)
電話02-2382-6600
口腔內一旦裝置了黏死的固定假牙 包括植牙 當人們老殘 頹廢 化療 恆臥病 輪椅時,絕大都無法自行刷牙 刷淨。
老殘 恆臥病時,口腔幾乎無法治療及保潔 衰弱病人無法坐上診療椅 即使很費勁的扛上去 衰弱的嘴巴也張不開。即使張開 開度也很微小 容納不下磨牙機的操作空間 高度,口腔喉嚨更不耐磨牙機噴氣噴水,極容易嗆到。植牙套冠雖然鎖以螺絲 也是無法卸下。這時期的假牙無法被磨切 剝除。如同不能脫下鞋子,怎能治療腳傷 若長年穿著無法脫下的鐵褲 如何能潔淨肛門,不腐臭、腫膿才怪!假牙無法或極困難拿下,無法治療。就是今日寰宇 無論年輕人或老年人 牙齒問題叢生 愈看愈糟 每況愈下的主因。
老殘時期 牙齒假牙的髒 臭 痛、膿腫,應如何處理?
就這麼聽其自然?任其(危病+只是虛應地擦藥或服藥)或應積極研發具有預防性 理想性 合於人性的新設計假牙,才能真正有效的解決人類此一亙古大患。才不會讓牙醫治療徒增忙擾。
牙周病治療 及 文明 人性化的假牙,應具備的條件:
一、在治療時 應有足夠的操作空間及路徑 讓醫師可直接徹底的刮除、刮潔假牙牙根任何死角 死穴的粘腐 臭穢。二、無論健康或臥病時,假牙應可立即、隨時方便順暢的拿下來 做日常徹底的保潔及治療。
三、假牙應設計具有可增援力量的Rest Arm(鄰牙支靠臂),用以倚靠著健固的鄰牙或植牙,如此則不用磨毀鄰牙 即可得以分擔 減弱咬食力對衰病的牙柱所造成的破壞,以免衰病的牙根地基骨牆 被咬食重力搖晃 破壞,或造成牙根本體斷、裂。(Rest Arm乃齒學博士吳文元的專利設計)(正常咬食力 對正常牙幾乎很少構成破壞,但對衰病的牙根地基骨牆,往往可構成咀嚼破壞)(因骨牆一旦腐毀,牙根地基變淺變低。牙本體 牙根裸露增長,破壞力桿、力矩變長 破壞力相對倍乘)
四、不要有槓桿撬啟、鬆裂冠蓋 (瓶蓋)內面硬固粘劑的破壞力(後敘詳述)。
五、新設計的活套冠假牙咬食時,要能穩妥地戴著,不要被黏食粘落。同時也要能夠順暢地拿下,以利日常清潔及醫生治療時,可立即拿下假牙,即有足夠的器械操作空間,以利刮潔治療。
六、老殘恆臥病輪椅時,不至於束手無策,殘酷地聽任病人牙齒 牙齦腫痛失救。
目前在病房及ICU觀察室內普遍的問題是老殘恆臥病病人,口腔內無能為力的聽任無法治療的膿爛牙齦,膿血 細菌 毒素 不斷地滲入微血管 隨著血流循環全身 相當干擾內外科的治療及用藥劑量的困擾!一面要求內外科醫生用(最貴??)最有效的藥企圖挽救生命 一面聽任口腔內 牙齦的膿血不停地滲入細菌毒素 的反醫療現象 矛盾!!
高壽 老殘假牙的新思惟
黏上固定的假牙,快則時過6、7年,慢則10幾、20年,必然會發生逐年 逐月腐蝕牙齦、牙周骨的現象。
以目前這麼發達的科技、器材,難道仍無法設計出不腐壞牙根及骨質本體的理想假牙嗎??
病牙的牙周長期膿腫發炎
~容易︰
一、腐毀 牙根 地基骨 同時也腐毀鄰牙。並且會一路侵蝕到大臼齒二叉三叉的牙根腐穴而爆膿 動搖 以致於被拔除。二、膿血 細菌 毒素長期侵入血管 循環全身 造成全身器官被感染的危險。以及免疫系統被干擾 是內 外科治病時 或術後感染最大的隱憂。
1、下顎臼齒二叉腐脊坑 窩藏腐穢。
1A、嚴重的二叉牙根腐脊坑。(病牙拖延太久或是牙醫之失能、無術而失救 牙齒幾乎是報廢了)
2、由於牙根地基變淺、變薄。正常的嚼食力 也變成了破壞力。(加上腐臭 更會加劇牙周病)
2A、正常的咀嚼力 相對地變成極大的破壞力。(嚴重牙根 地基腐壞變成極淺時)
(此時該牙大多已不能咬食。上下牙相互咬到時 會感覺劇痛,因牙冠己感覺浮腫)
黏死的固定假牙 在上下顎臼齒 若有二叉 三叉腐坑 沒能作可以有效刷潔的路徑結構設計,終究無法停止牙齒的腐敗。平常會逐漸加速腐蝕牙根地基骨及鄰牙。根叉 腐穴內的炎血毒素 更是時時威脅著感染內臟器官。老殘輪椅時 更難以處置 束手無策 任其殘酷 腫痛失救。
* * * * * * * *
* * * * * * * *
高壽 終遠 合人性 安心的假牙
此乃為比較理想 比較合人性的活套冠假牙
此例為植牙合併老舊殘根 套以Dr.吳式德國版的Konus牙橋 大體上 比較方便維持 牙頸環周的清潔。
倘若後牙大臼齒有分叉 腐穴者 應設計以New Taiwan Konus子內冠假牙 大臼齒才能更長久的潔淨,根叉牙周病 才能得到控管 不腐臭化膿。(植牙應注意緩壓設計)
倘若後牙大臼齒有分叉 腐穴者 應設計以New Taiwan Konus子內冠假牙 大臼齒才能更長久的潔淨,根叉牙周病 才能得到控管 不腐臭化膿。(植牙應注意緩壓設計)
老殘合理終遠安心的假牙
此例為八、九年前即做好的吳式德國版Konus全口牙橋 由於患者有二十幾年的糖尿病 不願植牙,遂以後方無牙脊支持著游離牙橋的型態設計。
游離端 會有咬晃作用 日久竟逐一的把患者犬齒 及 左下門牙晃斷後 即長期達到咬食力晃動均衡。近三年臥病不能行走 看護尚且還容易以超音波牙刷 刷潔,照顧上不是太大問題。但後牙臼齒牙根分叉之腐坑 仍存在腐炎(因沒有作二叉分切子內冠設計)。該處仍舊有腐膿的問題。
由於不植牙 游離假牙底座晃動 支撐不良 只能吃著菜頭粿、極軟爛之蔬菜、魚類等這般軟食。
[特效超音波牙刷]
此例為吳氏德國版Konus老殘假牙 照顧尚且容易 但大臼齒牙根二叉、三叉腐坑無分切設計 仍存在膿臭 流血的問題。
此老長起先兩邊都不願意加種植牙 以加強負荷。但兩三年後 改變心意 於左下加了植牙 助增支撐。
* * * * * * * *
* * * * * * * *
理想、人性的終遠 高壽假牙
上圖例為左上臼齒區牙根作分切牙周治療+多子內冠New Taiwan Konus假牙。加上右上植牙+門牙天然牙根 套以Dr.吳式德國型Konus活套冠。聯合一體成為能徹底治療、根叉牙周病徹底保潔、咀嚼功能良好的人性化假牙。不再擔憂老殘恆臥病時的治療及照顧。徹底解決了過去六十年來老人殘牙牙橋 牙根持續腐潰的問題。(門牙區)為Dr.吳、德國版,天然自體門牙套以Konus活套冠牙橋 + (右上)後上方植牙套以Konus活套冠牙橋 + 左後上方嚴重牙周病大臼齒的牙根三分切後再套以New Taiwan Konus子內冠。這些是不同階段 隔著數年 分期製作,逐一連接成一體 而成為一長排終遠理想的假牙,牙周病已作徹底治療,平日可徹底清潔,日後要再治療也很方便 甚至老殘恆臥病時亦可行。
一排牙 共同分擔著嚼咀破壞力 減少咬點區域的牙根、牙骨牆及黏固劑被撞擊破壞。
AA乃最近三年才製作的New Taiwan Konus牙周病牙根三分切治療法+Ball Post子內冠 (BB)
CCC是門牙做好四、五年後 才做的植牙Konus活套冠。舊的那排門牙外冠與後來右後方植牙的外冠 精準的焊合
AAAA乃是又過了二年半 診友再前來要求 想拔除左側動搖腐膿的大臼齒 想要如右側般做植牙。余乃告之以︰已有新研發的新台灣牙周病牙根三分切活套冠假牙治療修復法 效果頗佳 毋需再拔牙 植牙!
植牙與天然牙可否聯結?它們之間的相互干擾力為何?骨牆會不會被破壞?如何消除 減弱植牙牙根的被晃動 及地基牆被破壞的現象?
這變化的過程 損害的進程 及使用到生命後期 最後剩餘的殘柱 將如何支撐這一長排假牙。與到那時候 老殘臥病時的修復與照顧 將再另章或於研討會上 再以口語對話詳述之近日 這位診友 前來複檢 左上後方咬食有些微痛 經檢查、Scaling時毫無出血 均無腐炎及Deep Pocket。可能是使用暢快咬重過度。遂告之以︰最好僅限食如杏仁 花生 雞肉 空心菜等如此這般韌、硬。韌者勿過於烤鴨皮
* * * * * * * *
* * * * * * * *
中年時期 人性化 安全 安定的假牙
不要再做黏死型 愈修愈無牙的假牙
不要再做黏死型 愈修愈無牙的假牙
不要再被弄到要植牙了
上圖AA為分切兩顆牙根的案例。跟分切一顆牙根 是同樣的作法與道理。惟要考慮咬食時總承受力與動搖度 是不是可行 (判定法則︰以經驗、評估牙根地基尚存之高度。承受中度以上的壓力 痛否?)若力基不足 則可尋求近遠心無牙脊空區 作植牙 或拔除適當的一顆腐牙 做植牙 作為Rest Arm(支靠臂)的支柱牙 以增援力量。
注意︰植牙樁柱 儘量需有緩壓及避震設計
BB為小臼齒單柱牙根 套以Dr.吳文元設計德國型Konus雙套冠 加上Rest Arm處理。(Zirconia內冠)
B為德國型KONUS(活動雙套牙)。大臼齒牙根分叉腐穴處 腐膿仍舊會持續惡化 無法解決 雖環周可輕易保潔 但骨內牙根分叉臭穴處,仍會一直處於惡臭、發炎、流血狀態,會持續腐壞地基骨 而致地基全腐 終會拔除。
C為A、B內冠各自套上外冠以後的外觀。
(A) New Taiwan Konus 可終遠健固
(B) 德國型Konus大臼齒二叉根穴 仍會持續腐敗
(New Taiwan Konus在根叉腐穴的治癒控管上,及牙冠及牙冠摘脫順暢度方面,遠優於德國型。)
該診友已於這半年 將此一德國舊型牙改成New Taiwan 分切式Konus。不但救治了根叉牙周病,且舊型活套冠常有的內外冠太緊、卡死與無故鬆脫的問題 也獲得了解決。
B(左下)為德國原型Konus內冠
B(德國原型內冠)已更改為New Taiwan分切牙根內冠
With Ball & Cap
(以上說明為黏腐、臭蝕的治療及切開牙根腐坑成為壕溝的根叉牙周病 的活套冠處理)
* * * * * * * *
* * * * * * * *
不要再沿用這種40年前所研發的瑕疵設計黏死的假牙 終究會腐臭、毀壞牙齒及鄰牙。(多種缺失 已前述過)
AA乃牙冠齒頸部因滲水腐毀
BB為臼齒二叉牙根全部腐爛
上圖例為一般門診很普遍的現象 只是支柱牙腐壞程度不同而已;說明了傳統固定黏死假牙常有的災情。不要再做黏死的固定假牙 愈修愈無牙,不要再被弄到要植牙了
應全力救牙 使其修復後不再腐壞 不必再磨毀鄰牙 儘量不需拔牙 不必植牙 而終遠修復之 並達日常生活之正常功能 才是牙醫人應努力的第一目標。
牙醫服務人類最高境界 應為︰
其一、讓天然本牙 一開始就不腐敗……????
其二、使人類不需再做牙橋假牙,不需麻煩到要做長排高壽假牙,不需拔牙、不必植牙!!!!
讓第一顆假牙 就停止腐敗!!
+ 終遠維健 安心可靠的假牙 +
上顎臼齒牙根三分叉腐坑的解決方法
上顎大臼齒的三個牙根分叉處 因已有腐脊坑,若不加以切開 不把腐坑消除 則仍會因積臭 每天無法清除 而日久逐漸徹底腐壞牙根地基骨 終致需拔牙 而後植牙。植牙後再套以固定假牙 仍舊是沒有改善清潔的路徑、環境。植牙終究還是會有地基腐毀的現象 這就是為什麼目前植牙、牙醫前景一片看好。但是問題很大 會愈植問題愈旺。
植牙套以順暢的New Taiwan Konus活套冠假牙 + Dr.吳之Rest Arm(支靠臂) 則幾乎可癒予善終,幾乎很少再找麻煩了!!
倘若已幾乎全部去除了問題的因素 何來牙齒 假牙腐敗的發生!? 為何環宇牙界 一窩蜂全力的在研發補骨 植牙? 不過是在為無能為救的牙齒 料理法會後事罷了!!
骨科不也是以接好肢體為第一目標嗎?亦或是傾全力於截肢 而後附加以高科技、高靈敏的義肢為研發之主力?
全世界牙醫及研究所 若全力於研發搶救牙齒 力圖救存病牙 若此 則補骨 植牙 應只是牙醫學的一小旁支罷了。
* * * * * * * *
* * * * * * * *
BB牙根,因已有三叉腐坑 會積腐藏穢 故應予切開 以消除窩藏腐臭食漿的死穴,成為容易治療 容易清洗的壕溝 每天用沖牙機、牙間刷即可真正有效的清除乾淨。
BB因這顆牙 具有三叉腐穴而動搖 三個牙根切開後 清除乾淨 徹底治療 一時動搖的更厲害 但三根予以子內冠聯合套合後 日後因保潔良好 新嫩牙齦及流血狀況逐日改善 動搖二到四個月後 未完全腐壞的發炎骨 逐漸恢復穩定。因這位牙診友清潔度很高。其中央孔,牙肉呈現Q韌的健康色 如CC區的牙齦Q健一般 而非凍紅糜爛狀 輕觸即出血。
FF三叉根中央孔 醫師容易Scaling
(日後執行牙周病 再加強保養或治療)
(日後執行牙周病 再加強保養或治療)
* * * * * * * *
* * * * * * * *
New Taiwan Konus安心終遠的治療&修復
~下顎臼齒二叉腐脊坑
讓第一顆假牙 就不要再延伸 腐壞擴大
A 橡皮膠扣B 鑄球 與帽扣(A) 可共同扣住穩定外冠
C Rest Arm(支靠臂)幾乎是咬食力的全量吸收,是為支持的要件
D 牙周病的創新 救治法則。切開腐脊死穴 變成暢通的壕溝。才能真正完全的治療牙周病。每天才能真正的刷沖乾淨。
DS 連鄰接面也同樣有完善的空間路徑 可以徹底治療、徹底保潔。不像一般傳統黏死假牙的做法 二叉 三叉腐脊坑及鄰接面深隙 一向無法積極治療,極難保潔,因而持續腐壞 以致於拔牙。植牙+固定假牙 也仍舊會有很多死角、深隙 很難清除乾淨 日久同樣造成牙周骨腐敗、產生同樣災情。老殘時更是問題。恆臥病輪椅時 衰弱得張不開嘴 無法卸下植牙鎖冠的螺絲。
無論是本牙或植牙,套以黏死、鎖定的牙冠牙橋 老殘恆臥病輪椅時 牙醫界似乎就眼不見 心不想 束手置之。
上圖例為一動搖膿牙、牙根分叉處骨脊腐毀成一坑穴,藏腐。
AA乃幾乎所有牙醫都一致認為應該要拔除 而後再植牙 或磨損兩邊好牙 做套死的牙冠、牙橋。因為BB的根叉腐穴 以目前一般療法 無法作完全徹底的治療。經新法New Taiwan Konus分切牙根的牙周治療法 加Rest Arm具備分力活套冠修復法 得以完全治癒 而留存 並長保功能。
* * * * * * * *
* * * * * * * *
假牙牙齒要能安妥修復的 五大要素
1、要能真正治療到腐牙的病區 要能真正刷潔2、要能分散咬食力的承擔 以免牙根 牙骨牆斷、裂
(用Rest Arm支靠臂分擔力量)
3、不撬鬆 冠內黏固硬劑
(冠內的黏固硬劑 才不會滲水 才不會腐蝕)
-----------------------------------------
4、好拿上 拿下 裝戴順暢 穩固 安定
5、老殘時 容易照顧 好清潔 好治療
* * * * * * * *
* * * * * * * *
支柱牙不抽神經內外冠卡合 新專利套件
(有些圖片並非同一人 同一CASE,僅擇以影像清晰 狀況極類似 同義者 曉義說明)
(本文仍為初稿,排版與語意用辭 將在未來逐步修順 增料)
* * * * * * * *
* * * * * * * *
植牙的理想法則與醒思
一、植牙區域 地基骨質的優擇
二、承受力量的再思考 單柱植牙VS四腳桌型式
(想法︰將單柱植根 若分成兩支或三支、四支,
擴廣樁基面積 減少翻桌力矩的破壞力)
三、咬食破壞力 受力區的應力分擔
四、若採用目前一般方法,植牙用鎖定套冠式其
產生的撬板力矩 會加重咬食破壞力。以及內外冠
套合的間隙 會積臭 且無法日清而漫延腐壞根周骨
五、刷潔衛生 保潔便利性的預先設計
六、再治療的可行性
七、老殘恆臥期的照護
拔掉腐牙的牙床埂脊,中央區通常是鬆質骨,兩旁則是硬板骨;若植牙在中央區,或補骨後再植於中央區,則植柱表面所受到的支持骨樑,將以鬆質骨居多。二、承受力量的再思考 單柱植牙VS四腳桌型式
(想法︰將單柱植根 若分成兩支或三支、四支,
擴廣樁基面積 減少翻桌力矩的破壞力)
三、咬食破壞力 受力區的應力分擔
四、若採用目前一般方法,植牙用鎖定套冠式其
產生的撬板力矩 會加重咬食破壞力。以及內外冠
套合的間隙 會積臭 且無法日清而漫延腐壞根周骨
五、刷潔衛生 保潔便利性的預先設計
六、再治療的可行性
七、老殘恆臥期的照護
倒不如運用童年鄉間生活的經驗:連雨過後走在小田埂的智慧,避開路中央區的爛泥,尋踩小徑旁的草實地行走;或連雨天在爛泥山路開車的經驗,不要讓車碾於別人行走過的爛漿輪道內,偏邊走別人未用過的高隆丘道。
若植牙在AAA區 則植牙牙根 將高百分比 被鬆泡骨樑 依附支撐,支持力薄弱 較不堪垂直咬力及側方推力 若植在接近BBB區 則可有較多結實 硬實之骨質、骨樑細胞 卡入依附在植根表面的粗艙孔。
應回歸最正確的思考︰人性主義 救齒濟仁。
應全力發展推廣 真正有效的醫術 以期得到真正的救治。有效的去除所有的病因,停止牙齒 牙周骨的腐敗 恢復正常的功能 不再往噩運走去。
如輕鋼架聯合植柱 成一紥實舞台
兩球帽扣 扣住內外冠 咀嚼安穩
(一)外冠嚼咀力對內冠植根的集中破壞應力點,可被周邊數個植體共同分擔。單點區域的破壞應力,因此減弱許多。(二)四腳桌面植根支撐法,消除了如同翻桌力矩的破壞力。因此在安全應力內(??)冠內的黏固硬劑及植根周的小骨樑 不容易被破壞、鬆裂。
(三)再則,讓患者節制限食於︰花生、雞肉、空心菜(烤鴨皮)等中度正常咬力的食物。
(清潔方面 倒是不構成問題)(沖牙機、牙間刷)
(強烈的向醫療工程、生技師建議 儘快研發妥適的齒列吸潔機,更能加助於潔牙的理論程序)
(理論及實務上 應先刷牙 牙間刷後 用力潄除 再吸除 再沖牙)
齒列吸除機將更能造福老殘恆臥病者。
也期待有更強固 抗壓 耐震 抗磨耗 抗鬆裂的黏固硬劑及膠帽扣產品 被研發出來。
一整體外冠 附有兩個橡皮扣(膠帽) 使內外冠抓力更穩固安心
RR(支靠臂)精密度 密貼度 99%(??)
高密貼度!!
上圖︰下牙AAAA,為一組8年前製作的德國型支靠臂活套冠假牙(*單顆牙 單柱型植牙)
活套冠植根間的牙齦很容易維持在潔淨 健康 Q韌狀態。
這是通常黏死固定假牙或植牙的牙頸環周 及 空橋底部的牙齦少有的Q健狀。普遍多半呈現漿糜 凍紅 腐爛狀 一碰就流血。
這是通常黏死固定假牙或植牙的牙頸環周 及 空橋底部的牙齦少有的Q健狀。普遍多半呈現漿糜 凍紅 腐爛狀 一碰就流血。
* * * * * * * *
* * * * * * * *
這案例 小植體顯然太靠近 是因植牙時 牙齦翻開後 只見旁邊有極多的鬆損骨坑 為了避開以擇取優質硬骨而植入 為了避免太靠近損坑而作偏移。但是雖然植根互相太靠近 但結構上,日後沖牙、潔牙 不構成問題。骨支撐力量 健康上勉強尚可。
有待此診友日後仔細潔牙 及輕力限食於 (花生 雞肉 空心菜等類比範圍內,並儘可能韌、硬度,不過於烤鴨皮)假以時日 來年再證明此法是否終遠維健,但起造時 原剩餘之骨質 骨量 也是很大的關鍵。所以在牙齒、臼齒出現問題時 即應評估 並盡早以New Taiwan Rest Arm Konus法來進行治療、修復。以免拔牙。以免腐牙大量失骨。應及時停止牙脊的腐壞。
應研發 學習有效的救牙法 而非讓牙齒失救。牙骨嚴重腐毀後 再施以特技式的植牙或進行疼痛 腫脹、烏青、熊貓眼似的 不確定能成功的補骨。
AA為New Taiwan Konus牙橋外冠。
BB為德國型Konus牙橋外冠。
不同在於牙根的分叉腐穴 腐臭有無有效控管 及咬食鬆脫方面有無帽扣的穩妥保障。
因德國Konus型活套冠無法對大臼齒根叉腐穴 有效的控管 而造成原假牙兩個大臼齒腐敗 動搖 而被拔除。
用New Taiwan Konus新植法 有效的救援 被拔除後 極困難再植的情況 並理想的修復了原Konus活套冠假牙。給診友大事化小的幫助。
上圖上顎原本是一長排德國型雙重活套冠+(AA)磁鐵扣設
置於第一小臼齒。上顎第一、第二大臼齒 原來就潛藏有牙根三叉之間的中央腐穴 日久難清 而造成地基骨臭蝕 腐膿 動搖。磨切剝除了該兩臼齒的德國型內冠 再加以切開牙根後 發現小牙根各自極度動搖 毫無地基骨牆固持 遂予以"夾"除。
尚留有第一大臼齒之BM及P兩殘根 套之以內冠PB。上顎後臼齒區拔除殘根後所空下的無牙脊 於拔除一個半月後再翻開牙齦植牙 用直徑3.0mm、2.5mm、2.0或1.8數根 連株以New Taiwan Konus輕鋼架內冠 連成一網架,互相固持。即可互相支援 分配 分擔 可能集中於一區或其中一根植牙的咬食撞擊破壞力。使破壞力不超過骨牆及內冠硬固劑的鬆裂臨界點(??)。如此則可消除或分散、分擔、減弱咬食力的長期破壞。原來德國型的那排假牙 第一大臼齒 第二大臼齒的外冠部份予以切除 再力求精準的焊住新作的New Taiwan Konus外冠,如此恢復原牙橋的修復,完成大事化小的後援救治 並延續良好的功能。
AA為原Konus牙橋前半段 外表修復翻新後
BB為New Taiwan Konus外冠 舊牙前半段結構與New Taiwan Konus後半段結構 精焊在一起 完成精簡修復。
AA原是一排如同左邊BB的 (德國型Konus)牙橋 + Rest Arm。但CC大臼齒根叉處的狀況 一如目前一般五十歲以上的大臼齒 不論有無做黏死的假牙 幾乎百分之八、九十(??),都會有的 大臼齒牙根二、三叉腐穴。百分之百(??)會導致牙根地基一路嚴重腐毀而拔除。終於此患者AA處原來的德國型Konus假牙地基極度腐膿 動搖 而拔除。後改植以New Taiwan Konus植牙 + 子內冠活套冠牙橋 而恢復功能 靠沖牙機沖洗 衛生不是問題。
除了沖牙機 齒列吸潔器才是最有效 最正確的牙齒清潔設備 尤其在老殘恆臥病時的照護 還請材料學 醫材工程 大師們 釋禪離冥 起念著手研發 共同加油! 共同服務!
BB為德國型Konus牙橋外冠。
不同在於牙根的分叉腐穴 腐臭有無有效控管 及咬食鬆脫方面有無帽扣的穩妥保障。
* * * * * * * *
* * * * * * * *
Dr.吳設計之磁鐵扣、
德國式Konus活套冠牙橋
德國式Konus活套冠牙橋
德國式Konus內冠 大臼齒牙根三叉腐坑牙周病 無法有效清潔、治療,終於牙根全腐壞 而拔除
New Taiwan Konus(分散 擴廣植根面積 多桌腳型子內冠) 對德國型Konus腐壞牙橋的後援設計。因德國Konus型活套冠無法對大臼齒根叉腐穴 有效的控管 而造成原假牙兩個大臼齒腐敗 動搖 而被拔除。
用New Taiwan Konus新植法 有效的救援 被拔除後 極困難再植的情況 並理想的修復了原Konus活套冠假牙。給診友大事化小的幫助。
上圖上顎原本是一長排德國型雙重活套冠+(AA)磁鐵扣設
置於第一小臼齒。上顎第一、第二大臼齒 原來就潛藏有牙根三叉之間的中央腐穴 日久難清 而造成地基骨臭蝕 腐膿 動搖。磨切剝除了該兩臼齒的德國型內冠 再加以切開牙根後 發現小牙根各自極度動搖 毫無地基骨牆固持 遂予以"夾"除。
尚留有第一大臼齒之BM及P兩殘根 套之以內冠PB。上顎後臼齒區拔除殘根後所空下的無牙脊 於拔除一個半月後再翻開牙齦植牙 用直徑3.0mm、2.5mm、2.0或1.8數根 連株以New Taiwan Konus輕鋼架內冠 連成一網架,互相固持。即可互相支援 分配 分擔 可能集中於一區或其中一根植牙的咬食撞擊破壞力。使破壞力不超過骨牆及內冠硬固劑的鬆裂臨界點(??)。如此則可消除或分散、分擔、減弱咬食力的長期破壞。原來德國型的那排假牙 第一大臼齒 第二大臼齒的外冠部份予以切除 再力求精準的焊住新作的New Taiwan Konus外冠,如此恢復原牙橋的修復,完成大事化小的後援救治 並延續良好的功能。
AA乃Dr.吳、德國型Konus附加的磁鐵扣,RC為膠帽扣。一長排牙橋,具有雙扣 則拿脫順暢 咀嚼穩固可靠
BB為New Taiwan Konus外冠 舊牙前半段結構與New Taiwan Konus後半段結構 精焊在一起 完成精簡修復。
修復後 戴在口內咬合面瞻貌。
AA為Dr.吳德國型舊牙 + New Taiwan Konus修復後外觀。
CC為一排下牙Dr.吳德國型Konus。
* * * * * * * *
* * * * * * * *
舊殘本牙+植牙
Konus德國原型 全口活套冠牙橋
衰敗的舊殘本體牙根 + 新植牙 內冠附以Ball Post Cap及Locator(AA)橡皮帽扣。聯合成一體的New Taiwan Konus全口修復牙橋--安心潔淨 拿上拿下順暢 終遠維健 極至高壽老殘而不憂。
AA 為Locator固持圈 + 膠帽扣
CC為植牙 + Ballpost & Rubber Cap
牙醫學(???)至此 對人類才算是 一完整的體系 才具有真正的意義!!
1、咬力要分散 分配給多個支柱牙 以減弱破壞力。衰敗牙根、牙周骨才不會斷裂 動搖。
2、牙橋不可有撬殼 鬆脫牙冠的力槓效應
3、植牙、牙根分叉的死穴 深隙 腐區 要真能治療到,要真正能保潔。
4、食物節制,限食於輕、中度嚼力。如花生、軟雞肉、空心菜等韌、硬度等同類比。
電話02-2382-6600
(有些圖片並非同一人 同一CASE,僅擇以影像清晰 狀況極類似 同義者 曉義說明) (口內照片有可能因鏡照 而左右對應混淆)
(本文仍為初稿,排版與語意用辭 將在未來逐步修順 增料)



































































































